Превосходит зарубежные аналоги
Превосходит зарубежные аналоги
РОССИЙСКОЕ КАЧЕСТВО, КОТОРЫМ МОЖНО ГОРДИТЬСЯ
Более 400 позиций в каталоге
Более 400 позиций в каталоге
Доступные цены и широкий ассортимент
От Москвы до Дальнего Востока
От Москвы до Дальнего Востока
Широкая сеть представительств по России
Быстрая доставка
Быстрая доставка
Оперативная доставка заказа в удобное время

Наша продукция

Конфигуратор (выбор торка)
Конфигуратор (выбор торка)
Доборы брекет-систем (выбор торка)
Доборы брекет-систем (выбор торка)
Ортодонтические дуги
Ортодонтические дуги

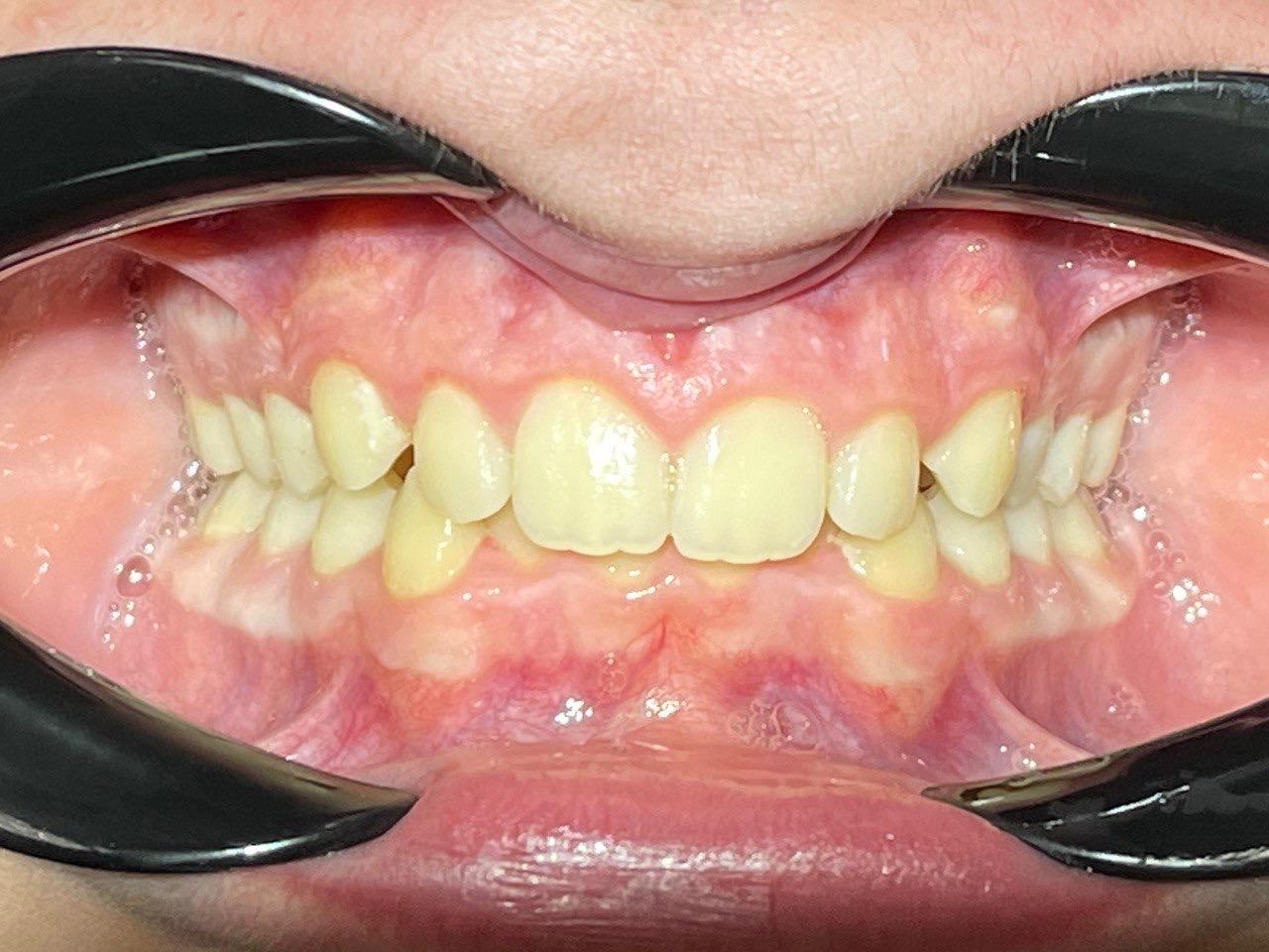
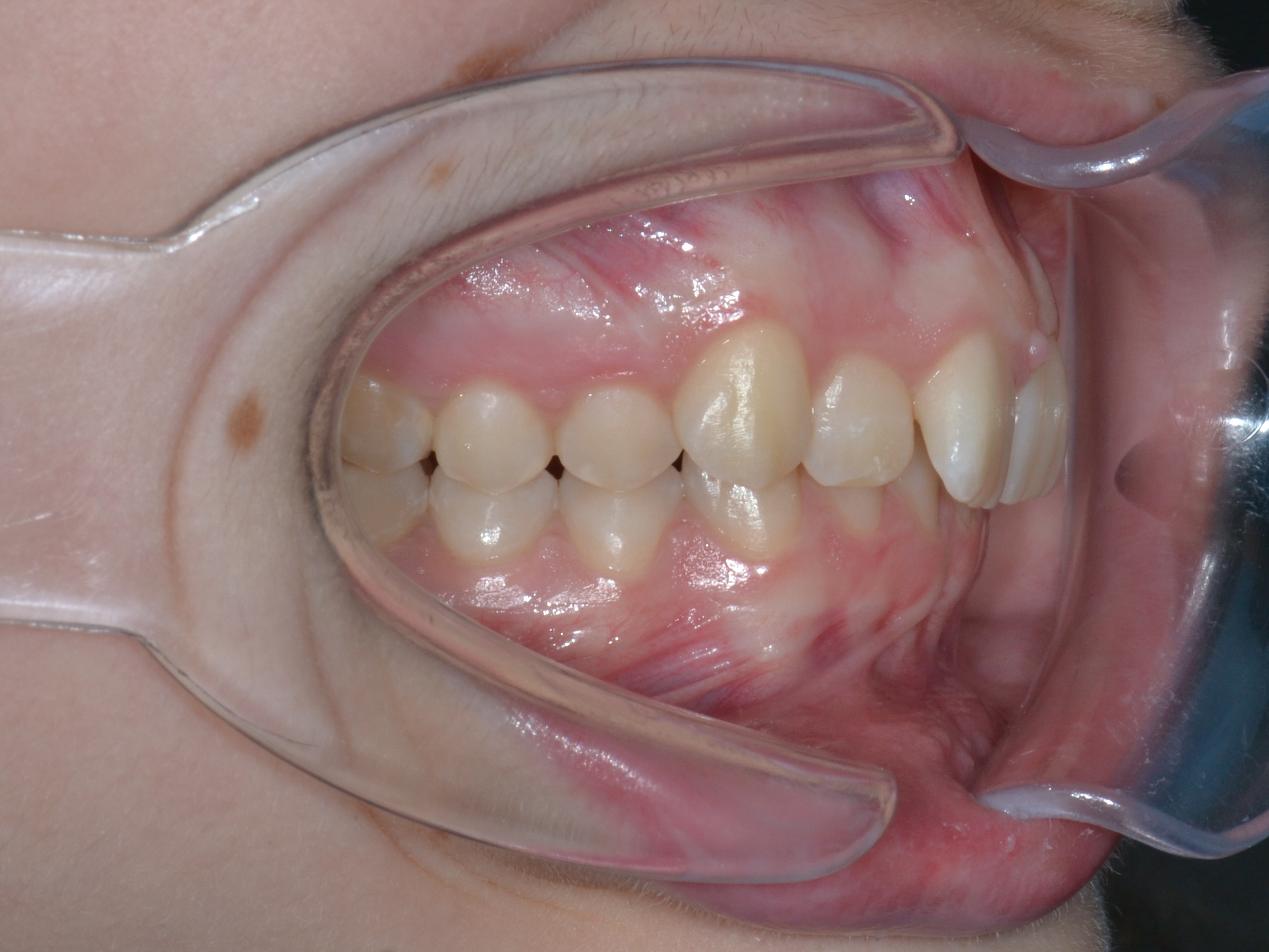
Клиническая практика

Выявленные проблемы

  • Сужение верхнего зубного ряда, сужение и уплощение нижнего
  • Глубокий прикус
  • Скученное положение 42-32, 12-22
  • Дефицит места постоянным зубам

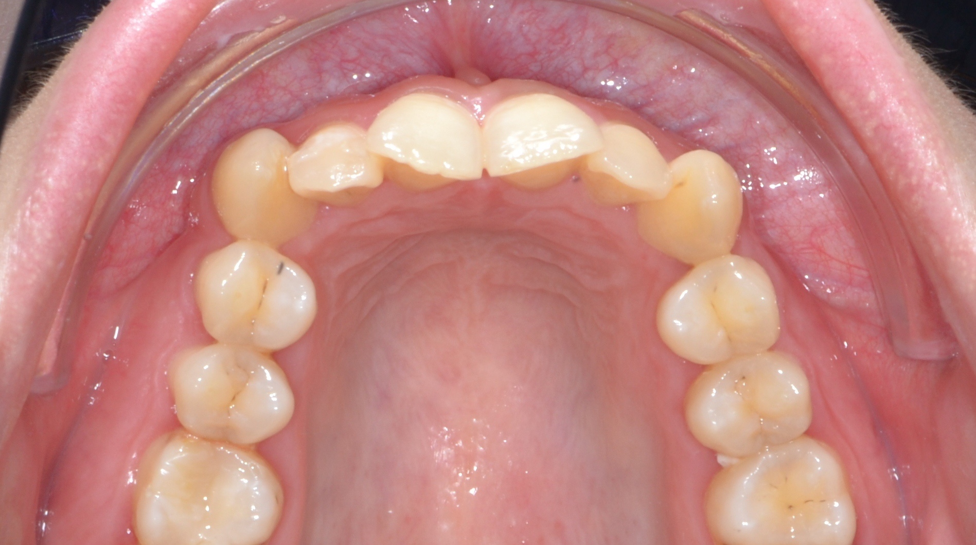
Брекет-система Ultra


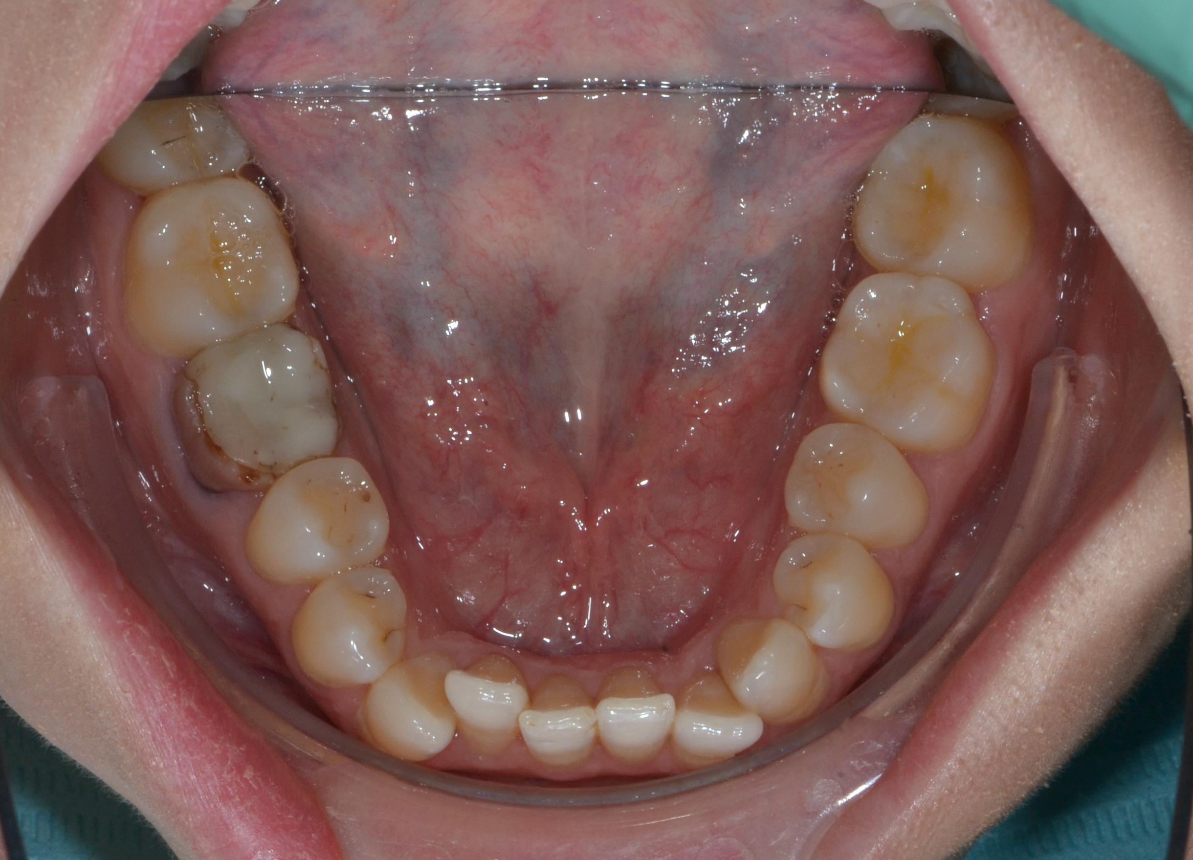
Выявленные проблемы

  • Глубокое резцовое перекрытие
  • Сужение верхнего и нижнего зубных рядов
  • 23 зуб в щёчном положении, 22 зуб в нёбном положении с дефицитом места
  • Скученное положение зубов дистальное положение и ротация нижней челюсти
  • Патологическая стираемость и генерализованный пародонтит с рецессией десневого края

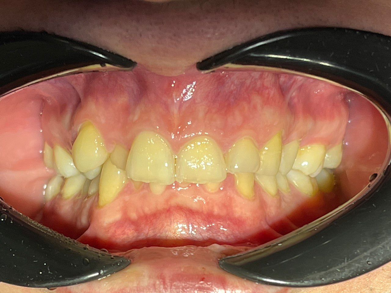
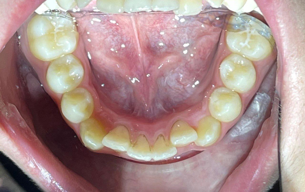
Брекет-система Q


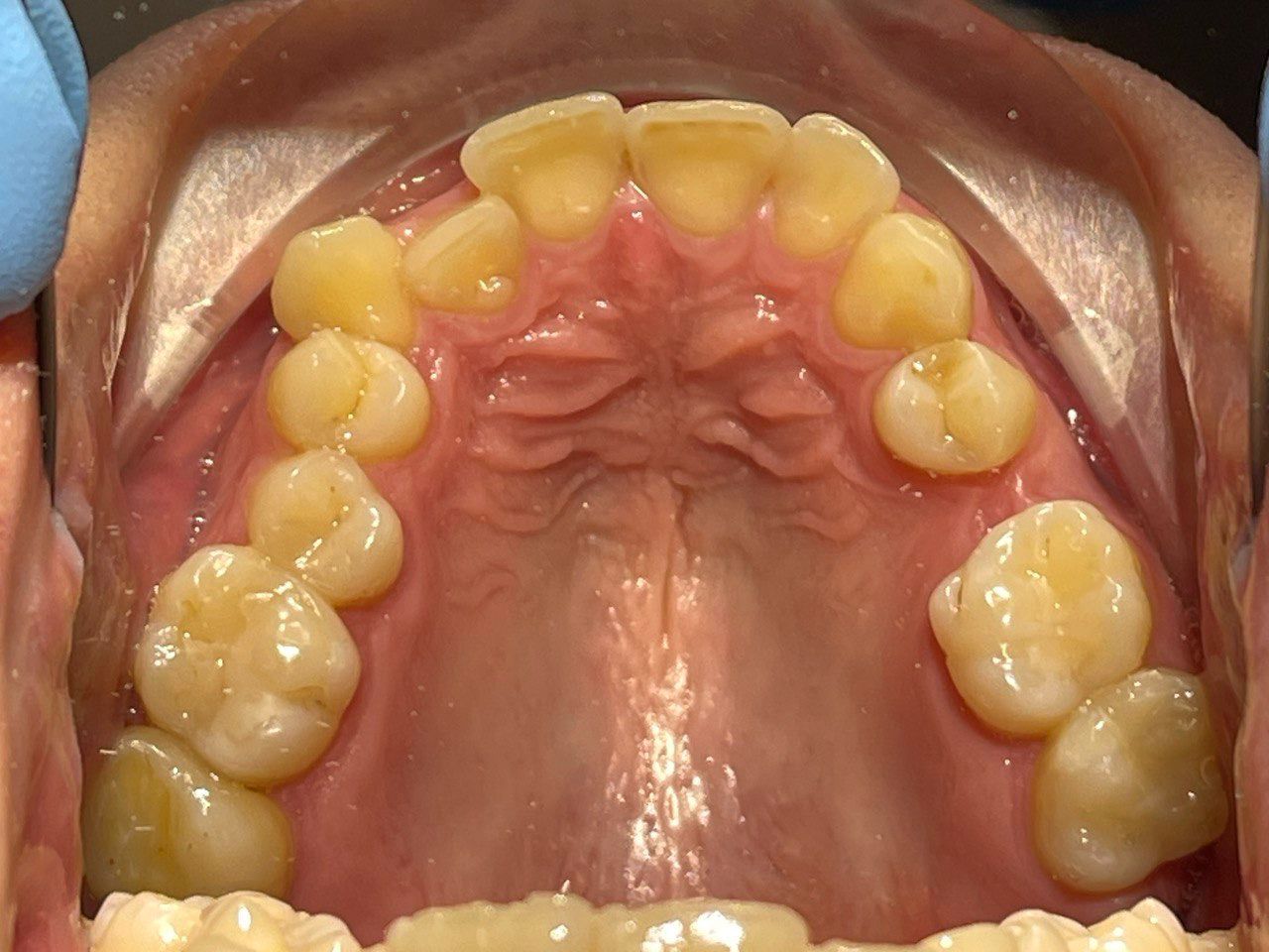
Выявленные проблемы

  • Дистальная окклюзия ||(2)
  • Глубокое резцовое соотношение
  • Скученность фронтальных зубов
  • Вестибулярное положение клыков

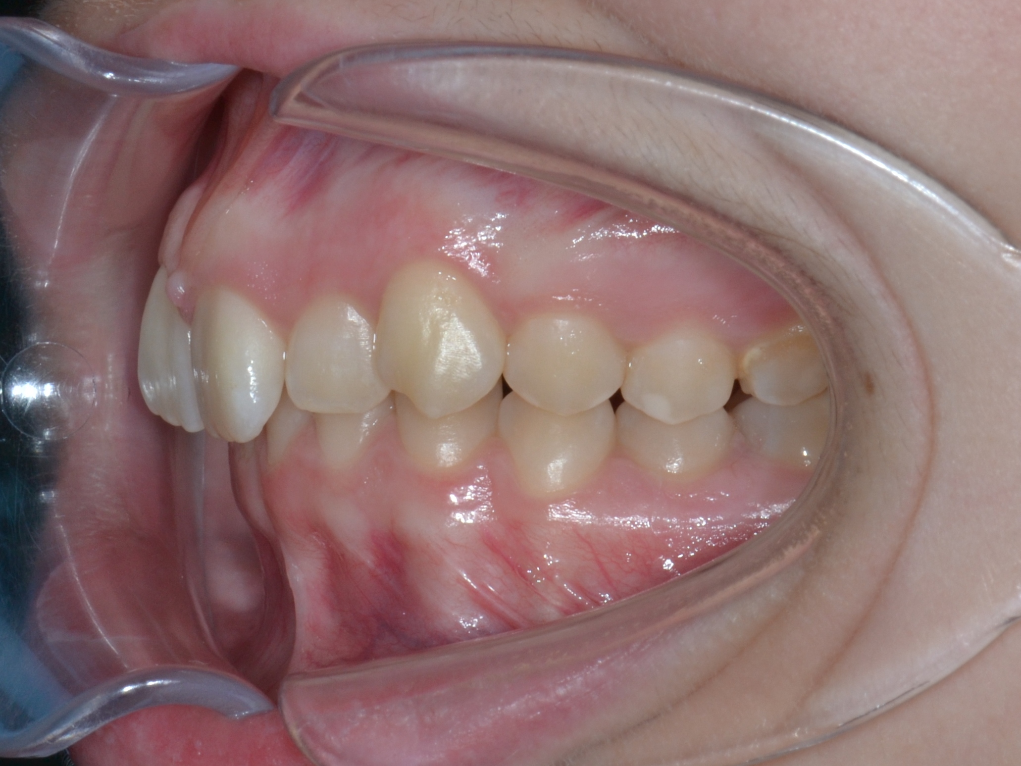
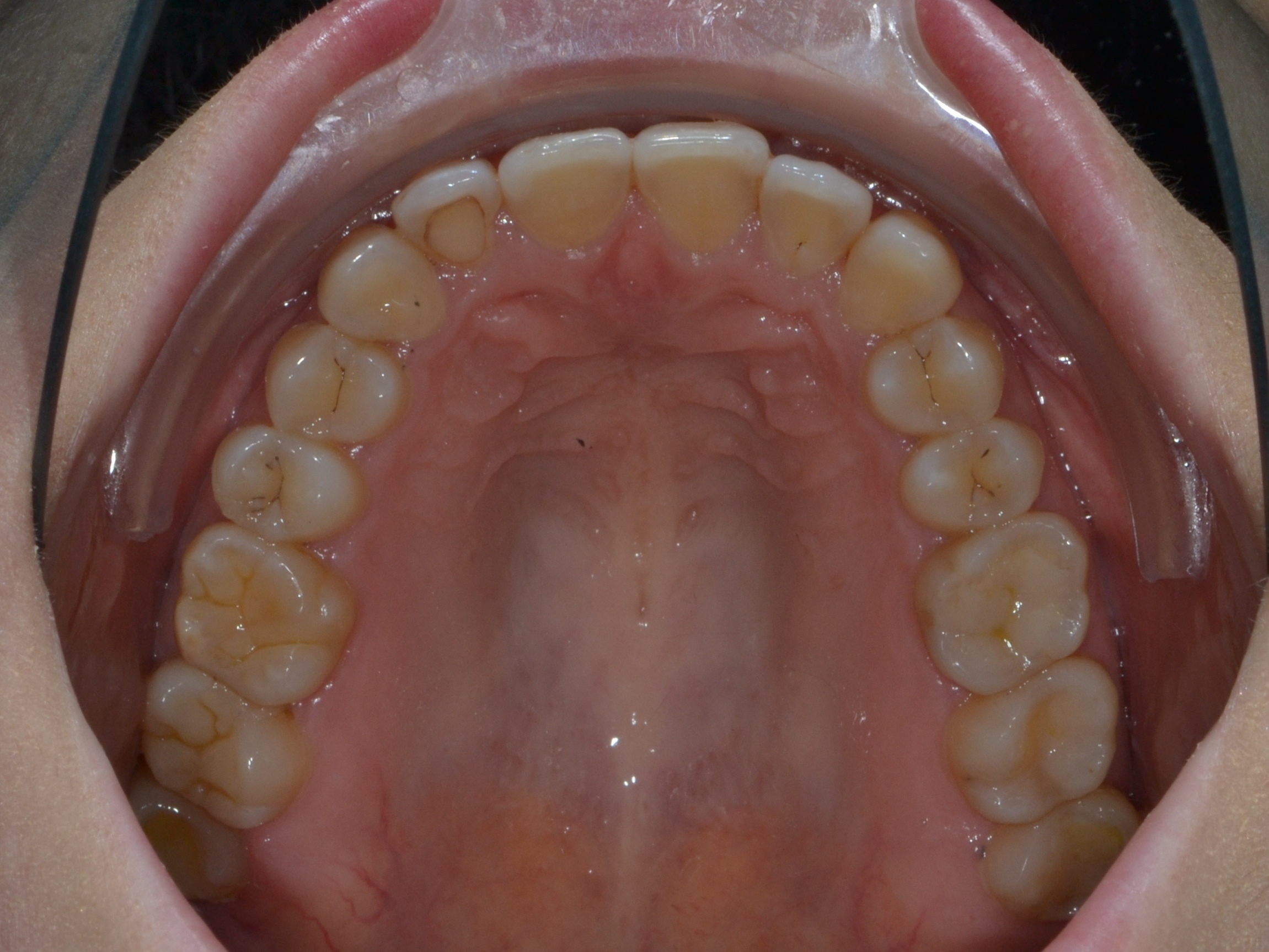
Брекет-система Ultra


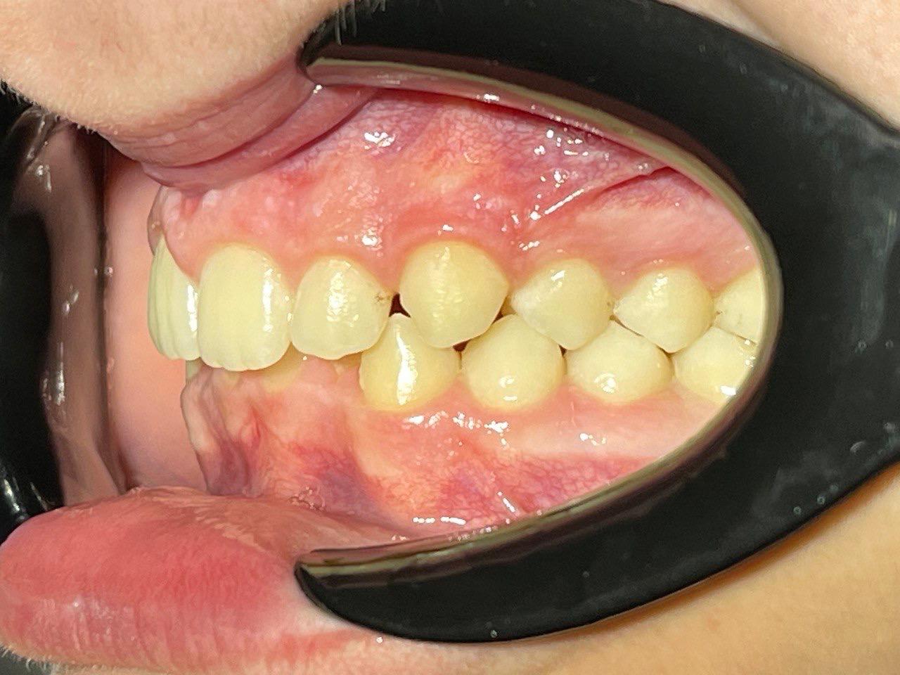
Выявленные проблемы

  • Персистентный зуб 6.3
  • Дистопия и тортоаномалия 2.3
  • Дистальная окклюзия

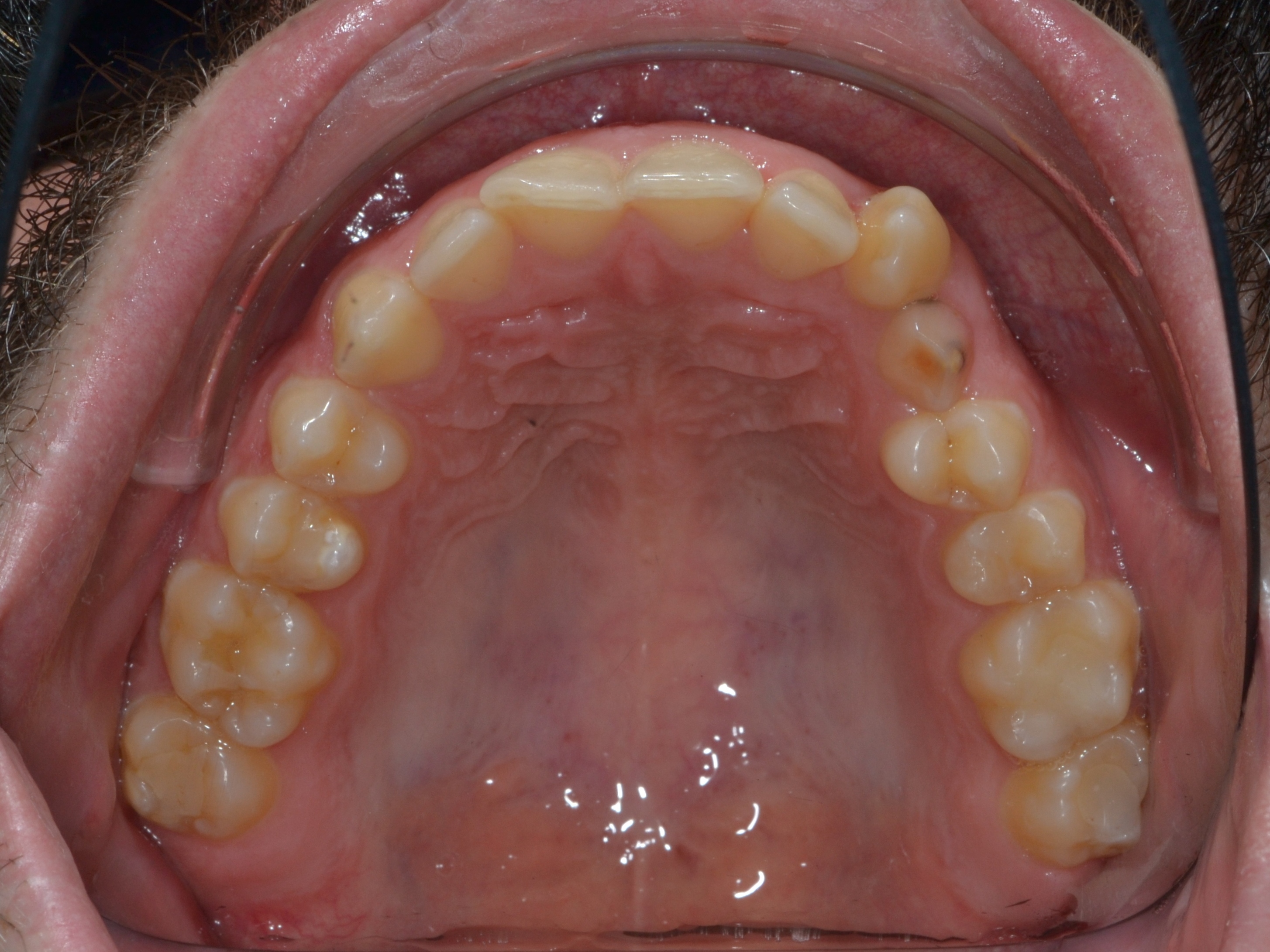
Брекет-система Ultra


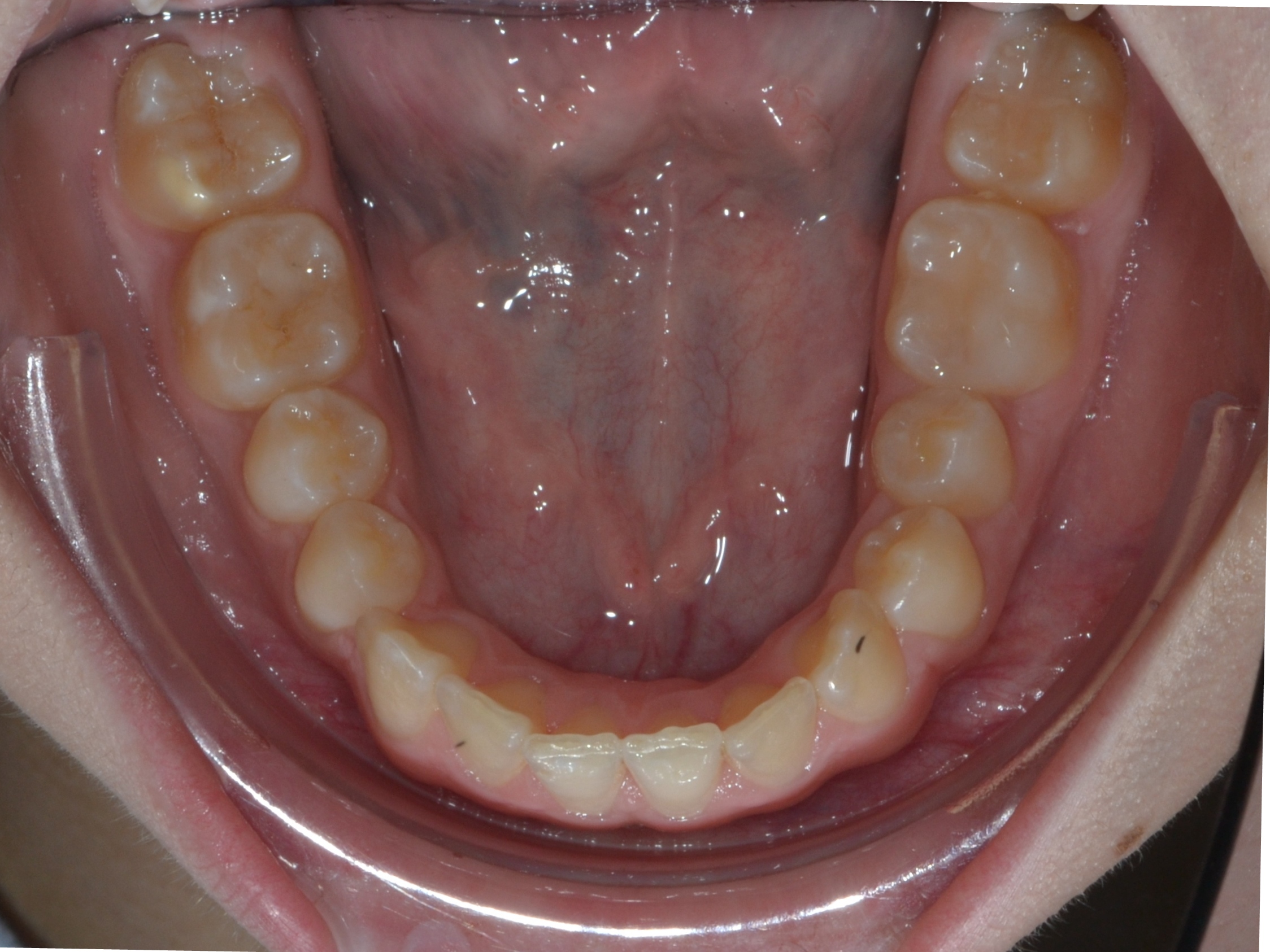
Выявленные проблемы

  • Дистальная окклюзия
  • Дефицит апикального базиса
  • Сужение зубных рядов
  • Вестибулярное положение клыков
  • Скученность во фронтальных и боковых отделах

Брекет-система Pro


Выявленные проблемы

  • Мезиальная окклюзия
  • Периодонтит зуба 4.6.
  • Дистализация нижнего зубного ряда с опорой на ортовинт

Брекет-система Q


Назад
Далее

Отзывы

@dr._jml_
@dr.kovalevskiy
@doc.viktoriasi
@dr.nataliaeliseeva
@dr.nataliaeliseeva
@julietta.surm
@doc.viktoriasi
@yaninalechit
@dr.nataliaeliseeva
@djavol_nosit_brekety
@dr.larkina
@dr.mikalorens
@dr.boykova_katerina
@dr.volviankin
@djavol_nosit_brekety
@djavol_nosit_brekety
@dr.boykova_katerina
@doc.viktoriasi
@djavol_nosit_brekety
@djavol_nosit_brekety
@dr.nataliaeliseeva
@dr._jml_
@dr._jml_
@dr.nataliaeliseeva
@doc.viktoriasi

О компании

Имплант Инжиниринг — Российская компания, которая специализируется на проектировании и OEM-производстве высококачественных металлических брекетов класса Премиум.

Наше производство сертифицировано по CE 0197 , FDA, ISO 13485. На всех этапах производства осуществляется контроль качества выпускаемой продукции в соответствии с системой менеджмента качества ISO 13485-2016. Брекеты марки NexStep обеспечивают простоту, надежность и эффективность выполненной вами работы.

О компании

Видео

Брекет-система NexStep Q

В системе собраны лучшие решения: дополнительный паз для использования в сложных клинических случаях, вертикальная метка для точного позиционирования брекета. Вставной крючок на вертикальной прорези устанавливается без направляющей метки и легко «подгибается» снизу.

Брекет-система NexStep Pro

Инновационная в мире ортодонтии! Уникальная конструкция замка-слайда обеспечивает повышенный контроль торка и ротации, плавность перемещения на протяжении всего лечения. Меньше загрязняются, обеспечивая лучшую гигиену полости рта.

Брекет-система NexStep Ultra

Наша новейшая разработка. Футуристический дизайн, шлифованный паз точных размеров. Более эффективная отработка торка и ротации. Наличие прописи Roth и MBT дает больше возможностей врачу-ортодонту при решении сложных клинических случаев. Очень гигиеничны.

Мероприятия

XXV съезд ортодонтов России
Команда «NexStep» приняла участие в значимом мероприятии — «XXV съезд ортодонтов России».
На нашем стенде были представлены ортодонтическая продукция под брендом «NexStep».

Врачи-ортодонты и ведущие эксперты из разных регионов России высоко оценили наши брекет-системы «премиум» класса: линейки NexStep Q, NexStep Pro и особенно NexStep Ultra.
Круглый стол по непрямой фиксации брекетов NexStep Pro
Мероприятие привлекло множество специалистов, стремящихся расширить свои знания и навыки в области цифровых решений в ортодонтии.

Мероприятие состояло из двух частей:
1 - Первая часть включала цифровые решения в ортодонтии, сравнение методов прямой и непрямой фиксации брекетов, разбор кейсов
2 - Вторая часть включала в себя демонстрацию установки брекетов пациенту с помощью капы для непрямой фиксации

Что важно отметить?
– Для фиксации применялись каппы, смоделированные и изготовленные в лаборатории Atlas
– В качестве брекет-системы были выбраны «NexStep Pro», которые являются инновационными в мире ортодонтии, с возможностью работы в цифровом протоколе
— Демонстрация процесса установки с возможностью обсуждения нюансов в режиме реального времени
— Рубрика "Вопрос-ответ" позволила специалистам задать интересующие вопросы, касающиеся фиксации, и получить развернутые ответы от лектора


Дата проведения: 30.01.2025г.
Место проведения: г. Нижний Новгород
Организаторы: лаборатория Atlas & "NexStep" - производитель брекет-систем класса "премиум"
Назад
Далее

Начните работать с нами уже сейчас!

Компания «Имплант Инжиниринг» продолжает разрабатывать и внедрять передовые технические новинки в области ортодонтии. Нам важно обеспечить Вас и Ваших пациентов только качественными брекет-системами для более эффективного лечения!