...
Клиническая практика

Клиническая практика

Виктория Михеева
пациент
Афанасьева Оксана Евгеньевна
Врач-ортодонт

Выявленные проблемы

  • Мезиальная окклюзия
  • Периодонтит зуба 4.6.
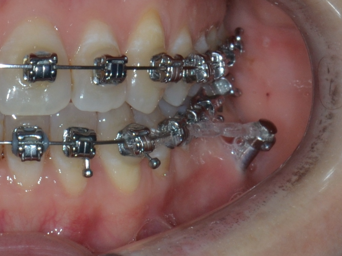
  • Дистализация нижнего зубного ряда с опорой на ортовинт

Брекет-система Q

Клиническая практика

1
До фиксации
Июль 2024 г.
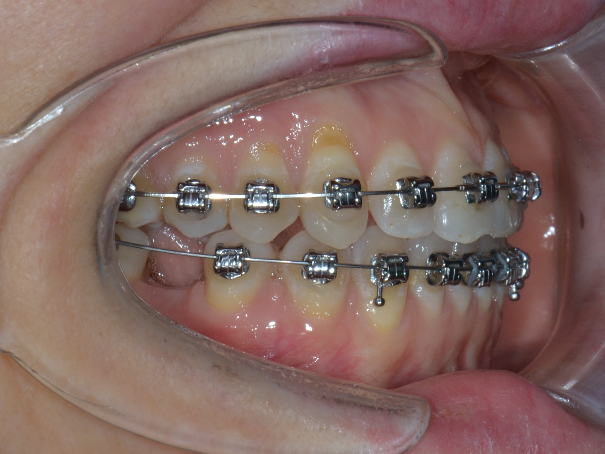
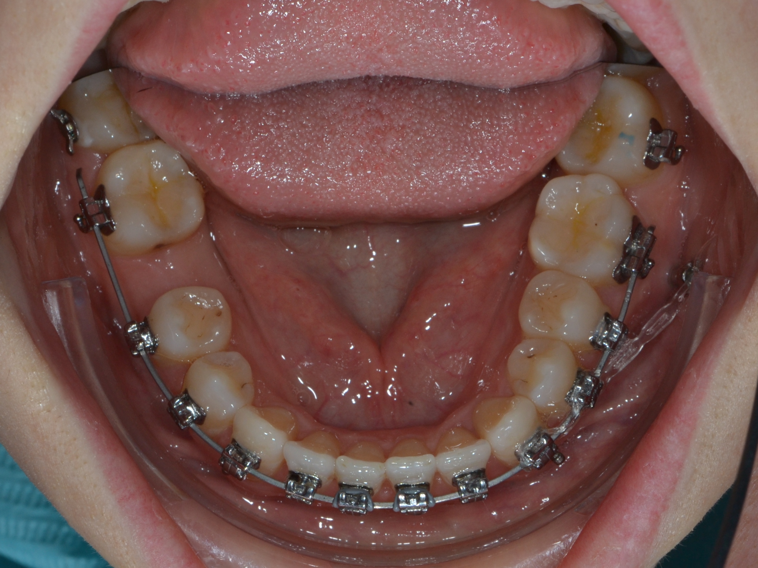
2
7 месяцев
ВЧ - TMA 16x22, НЧ - SE 14x25, BS ортовинт 12 мм в третий сегмент.