Пациент А, в возрасте 13 л., жалуется на неправильное положение клыков на верхней челюсти.
В анамнезе: ранее ортодонтическое лечение не проводилось. Было раннее преждевременное удаление временных моляров на верхней челюсти в связи с осложненной формой кариеса, что повлекло в дальнейшем за собой миграцию первых постоянных моляров в мезиальном направлении с смыканием по дистальному типу.
Клинический осмотр: лицо среднее, симметричное. Средний отдел лица несколько уменьшен по причине в прошлом наличия аденоидов. По данной патологии проводилось консервативное лечение. Профиль прямой. Узкая красная кайма верхней губы, c нарушением взаиморасположения губ. (рис.1.)
Рис.1. Лицо пациента А. 13 л. до лечения
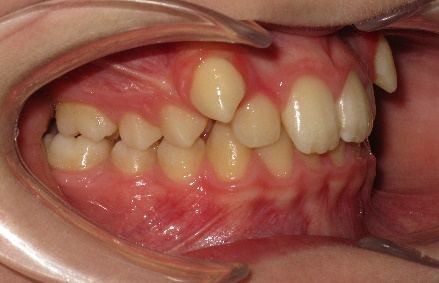
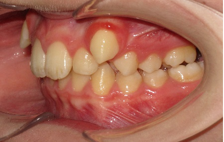
В полости рта: смыкание первых моляров по дистальному типу. Сужение зубных рядов в боковых отделах. 13 и 23 - вестибулярное и супраположение с дефицитом места в зубном ряду на величину ширины коронки клыка. Глубокая резцовая окклюзия.(рис.2.)
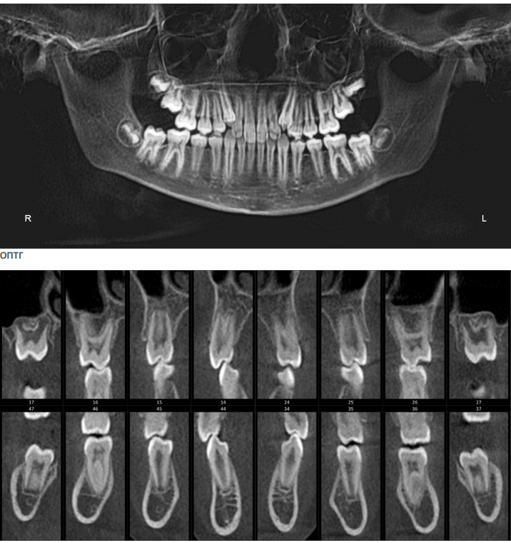
На КЛКТ определяются зачатки вторых и третьих моляров на верхней и нижней челюсти, степень формирования которых соответствует возрасту и полу. Невысокое положение клыков с увеличенной мезиальной ангуляцией.
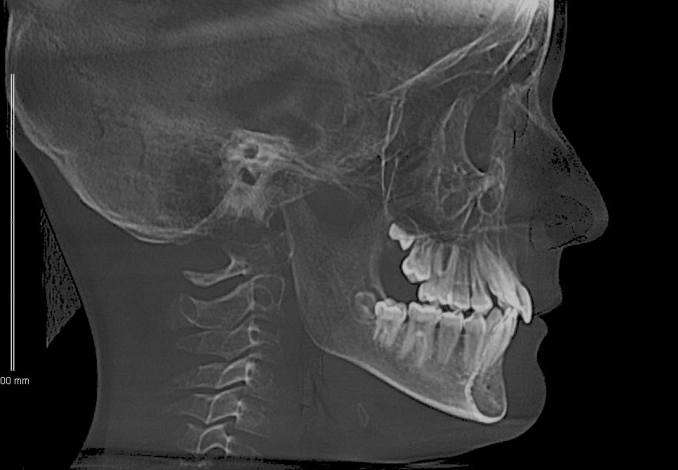
На ТРГ головы в боковой проекции - ретроположение верхней и нижней челюсти в сагиттальном направлении без нарушения размеров апикальных базисов и их взаиморасположения. Тип роста – нейтральный. Дентоальвеолярный анализ характеризует изменение инклинации резцов на верхней и нижней челюсти с незначительным дентоальвеолярным удлинением. На нижней челюсти в области боковой группы зубов определяется зубоальвеолярное укорочение, что характеризует формирование глубокой кривой Spee на данном этапе формирования прикуса постоянных зубов. (рис.3.)
Рис.2.Смыкание зубных рядов пациента А. до лечения и окклюзионный вид.
Рис. 3. КЛКТ и ТРГ головы в боковой проекции пациента А. до лечения.
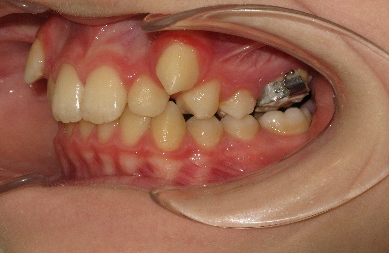
В плане ортодонтического лечения необходимо провести дистализацию боковых сегментов на верхней челюсти с постановкой моляров по нейтральному типу с последующей нормализацией формы зубных рядов на обеих челюстях и окклюзии. Первый этап лечения проводится с помощью несъемного дистализирующего аппарата – Distal Jet. (рис.4)
Данная конструкция ортодонтического аппарата выбрана обьективно, учитывая возраст пациента и незрелость костной ткани альвеолярного отростка на данном этапе формирования прикуса постоянных зубов. В более позднем возрасте целесообразно применение ортодонтических миниимплантатов с целью анкоража для дистализации боковых сегментов на верхней челюсти с постановкой моляров по нейтральному типу. Период дистализации первых моляров верхней челюсти с помощью аппарата Distal Jet занял примерно 5 мес. Отмечается корпусное перемещение моляров без изменения их осевого наклона в сагиттальном направлении, что дают конструктивные особенности аппарата Distal Jet с соответствующей силовой нагрузкой пружины NiTi . (рис.5)
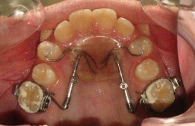
Рис.4. Аппарат Distal Jet в полости рта на начальном этапе дистализации.
Рис.5. После дистализации с помощью аппарата Distal Jet.
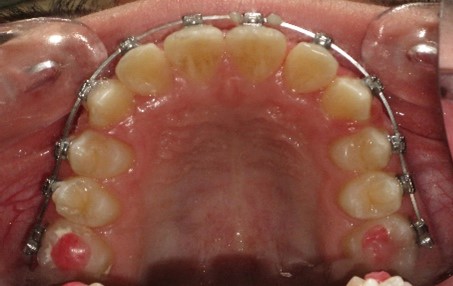
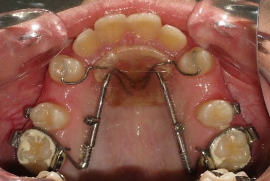
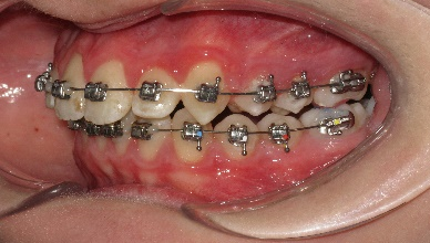
В последующем, после дистализации моляров на верхней челюсти, аппарат снят и на втором этапе ортодонтического лечения фиксирована брекет-система пассивного самолигирования NexStep Pro с пазом 0.22 (стандарт). Уникальная конструкция замка-слайда обеспечивает повышенный контроль торка и ротации, а прецизионность паза брекета дает полную реализацию программы, заложенную в брекетах данной системы SLS. (рис.6 )
Рис.6. Потеря торка в системе NexStep Pro slot 0.22 с использованием ортодонтической дуги 019 х 025.
На завершении проведения этапа нивелирования начинается активная дистализация первых и вторых премоляров на верхней челюсти с помощью открывающих пружин, выполненных из сплава NiTi c незначительной силовой нагрузкой. (рис.7.)
Рис.7. Этап нивелирования на аппарате NexStep Pro 0.22
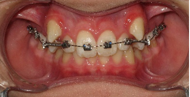
После дистализации боковых сегментов на верхней челюсти и правильной постановки клыков в зубной ряд проведена фиксация аппарата на нижний зубной ряд и дальнейшая коррекция окклюзии проводится по стандартному протоколу, т.е. нормализация формы зубных рядов на верхней и нижней челюсти с правильной постановкой зубов по торку в боковых и во фронтальном отделах, что дает реализация программы, заложенная в пассивной самолигирующей брекет- системе NexStep Pro 0.22. (рис.8)
Рис.8. Этап контроля торка на верхней челюсти и фиксация аппарата на нижней челюсти для проведения этапа нивелирования.
Предпочтение в данной пассивной самолигирующей брекет-системе было выбрано с учетом значений торка, заложенного в щечных трубках и премолярах на верхней челюсти. Щечные трубки для первых моляров верхней челюсти имеют увеличенный торк в пределах -18 гр., а на премолярах -11 гр. и ангуляцию +2 гр. Для данного конкретного случая это необходимо, учитывая имеющуюся положительную инклинацию моляров с первоначальным контактом небных бугров, исключая при этом скелетное несоответствие в трансверзальном направлении. Такой выбор программы, заложенный в брекетах, необходим для создания правильных окклюзионных контактов в боковых отделах с формированием соответствующей ширины зубных рядов в боковых отделах на верхней и нижней челюсти.
Ангуляция, заложенная в брекетах на премолярах +2 гр. необходима, чтобы не допустить изменение осевого наклона зуба при его сагиттальном перемещении дистально.(рис. 9)
Щечная трубка на первые моляры верхней челюсти с стандартным торком, значение которого позволяют установить моляры в правильном соотношении в сагиттальном и трансверзальном направлении без преждевременного контакта мезиального небного бугра верхнего первого моляра с моляром- антагонистом на нижней челюсти, приводящего к бугровому смыканию и вероятному ретроположению нижней челюсти. (рис.10)
Рис.10. КТ челюстей, характеризующая нормальные параметры апикальных базисов челюстей в трансверзальном направлении с правильным расположением по инклинации моляров верхней и нижней челюсти.


