...
Клиническая практика

Клиническая практика

Александр Петров
пациент
Полунова Оксана Васильевна
Стоматолог-ортодонт, кандидат медицинских наук

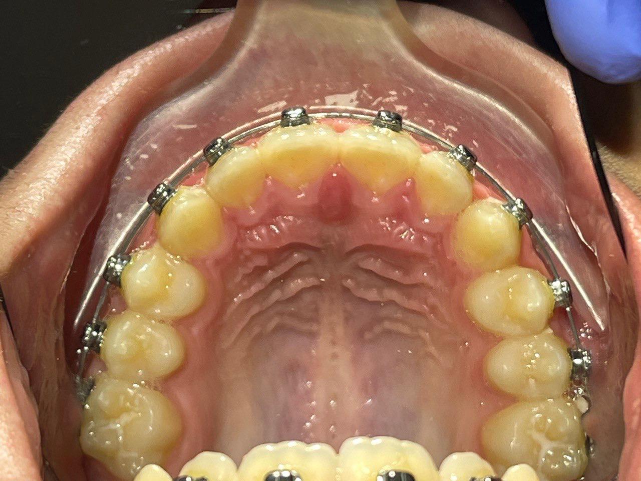
Выявленные проблемы

  • Сужение верхнего зубного ряда, сужение и уплощение нижнего
  • Глубокий прикус
  • Скученное положение 42-32, 12-22
  • Дефицит места постоянным зубам

Брекет-система Ultra

Клиническая практика

1
До фиксации
Май 2024 г.
2
Дуга CU-NITI 18
Октябрь 2024 г.