...
Клиническая практика

Клиническая практика

Кристина Золотарева
пациент
Афанасьева Оксана Евгеньевна
Врач-ортодонт

Выявленные проблемы

  • Дистальная окклюзия
  • Дефицит апикального базиса
  • Сужение зубных рядов
  • Вестибулярное положение клыков
  • Скученность во фронтальных и боковых отделах

Брекет-система Pro

Клиническая практика

1
До фиксации
Декабрь 2024 г.
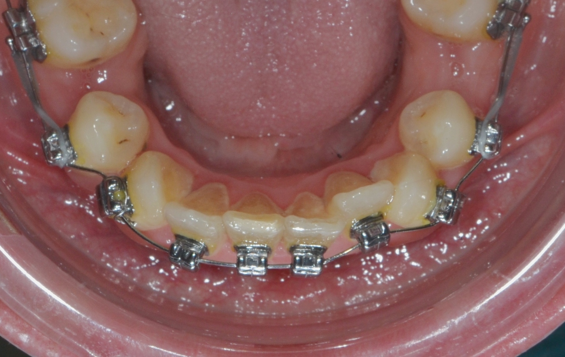
2
1.5 месяца
Частичная ретракция премоляров и клыков 1.5 мм